Коксартроза - онлайн консултация с лекар ревматолог

Тук можете да зададете въпроси и да споделите мнение за проблемите с костите, мускулите и ставите.

Коксартроза - онлайн консултация с лекар ревматолог

Мнениеот FramarLekari » 05 Мар 2014, 15:49

В тази тема можете да задавате въпроси, свързани със заболяването коксартроза.

На Вашите въпроси ще отговаря медицинският екип на Фрамар.

Научете повече за Медицинския отдел на "Фрамар"
Специалистите на www.framar.bg предоставят консултация, която не може да замени преглед при квалифициран и правоспособен лекар.
FramarLekari
 
Мнения: 1917
Регистриран на: 29 Мар 2011, 19:23
Местоположение: България

Re: Коксартроза - онлайн консултация с лекар ревматолог

Мнениеот zoikav » 10 Мар 2014, 18:26

Диагнозата ми е двустранна коксартроза,силно изразена в дясната страна.
Тъй като имам болки при движение редувам лекарствата си ,които са ми били предписвани през годините.
Въпросът ми е: Мога ли да продължа да ги редувам,например Диклофенак,след това Тилкотил,след това Фламексин и другите,трябва ли да има период на почивка и колко е най-дългия период да приемам едното лекарство? Мога ли да взимам някои от тях заедно?
Благодаря
zoikav
 
Мнения: 1
Регистриран на: 10 Мар 2014, 18:17

Re: Коксартроза - онлайн консултация с лекар ревматолог

Мнениеот Dr Tihomir Gorchev » 11 Мар 2014, 14:05

Здравейте,
Лекарствата които изброявате са от една и съща лекарствена група. Трябва да се приема само едно от тях, без да се комбинират помежду си. При остра болка е препоръчителен 7-10 дневен курс на терапия. Ако оплакванията продължат е необходимо да се консултирате с лекар.
Dr Tihomir Gorchev
 
Мнения: 83
Регистриран на: 01 Мар 2014, 15:30

Re: Коксартроза - онлайн консултация с лекар ревматолог

Мнениеот Янка Аврамова » 05 Ное 2014, 19:33

Здравейте Д-р Горчев ,в началото на септември започна да ме боли левия крак горе тазобедрената става , без до тогава да съм имала проблеми.Почнах да куцам и сега на 31.10.2014г си направих снимка и ето заключението: жена на 56 год. лицева снимка на лява тазобедрена става: Кости с правилна форма.Ставната ширина е съхранена,оформя се обща остеопороза а на места се долавят и начални хронични дегенеративни промени-образуване на малки кистозни изменения в областа на веждата на главата на бедрената кост. Не пия никакви лекарства, не съм ходила още на лекар ,защото в нашия град няма нито ревматолог ,нито ортопед. В момента само пия от един месец" Колаген комплекс макс" Ще Ви бъда много благодарна ако ми дадете съвет какво да предприема.При вас не мога да дойда ,защото съм от другия край на България.
Янка Аврамова
 
Мнения: 1
Регистриран на: 05 Ное 2014, 19:01

Re: Коксартроза - онлайн консултация с лекар ревматолог

Мнениеот Dr Tihomir Gorchev » 20 Ное 2014, 13:02

Янка Аврамова написа:Здравейте Д-р Горчев ,в началото на септември започна да ме боли левия крак горе тазобедрената става , без до тогава да съм имала проблеми.Почнах да куцам и сега на 31.10.2014г си направих снимка и ето заключението: жена на 56 год. лицева снимка на лява тазобедрена става: Кости с правилна форма.Ставната ширина е съхранена,оформя се обща остеопороза а на места се долавят и начални хронични дегенеративни промени-образуване на малки кистозни изменения в областа на веждата на главата на бедрената кост. Не пия никакви лекарства, не съм ходила още на лекар ,защото в нашия град няма нито ревматолог ,нито ортопед. В момента само пия от един месец" Колаген комплекс макс" Ще Ви бъда много благодарна ако ми дадете съвет какво да предприема.При вас не мога да дойда ,защото съм от другия край на България.


Здравейте,
Уместно е да се направи Ро графия не само не лява тазобедренна става, но и на дясната, за да може симетрично да се види и изясни проблема. Поради описаните от ретгенолога данни за "ОБЩА ОСТЕОПОРОЗА" е уместно да се направи изследване на костна плътност DXA и ако има данни за наличие на това заболяване да се вземат необходимите мерки. Колаген комплекс макс е приемлив вариант, но в него количеството на Калций в една таблетка по данни на производителя е едва 140 мг, уместно е да замените с друга хранителна добавка, поне с 4 пъти повече калций или да приемате по-голямо количество от този Колаген комплекс. На базата на описаните Ро изменения е препоръчително провеждане на курс с НСПВС и Физиотерапия, за което е силно препоръчително да се обърнете към личният си лекар.
Dr Tihomir Gorchev
 
Мнения: 83
Регистриран на: 01 Мар 2014, 15:30

Re: Коксартроза - онлайн консултация с лекар ревматолог

Мнениеот Dr Tihomir Gorchev » 20 Ное 2014, 13:07

zoikav написа:Диагнозата ми е двустранна коксартроза,силно изразена в дясната страна.
Тъй като имам болки при движение редувам лекарствата си ,които са ми били предписвани през годините.
Въпросът ми е: Мога ли да продължа да ги редувам,например Диклофенак,след това Тилкотил,след това Фламексин и другите,трябва ли да има период на почивка и колко е най-дългия период да приемам едното лекарство? Мога ли да взимам някои от тях заедно?
Благодаря


Здравейте,
При силна болка е уместно приложението на изброените лекарства до 10 дни. При хронична болка, трябва медикамента, дозировката и начинът му на приемане да бъде назначено от лекар. Прием заедно на две или повече НСПВС медикаменти не увеличава техният терапевтичен ефект, но многократно увеличава техните странични реакции. Уместно е да обсъдите с лекуващият ви лекар провеждане на курс физиотерапия.
Dr Tihomir Gorchev
 
Мнения: 83
Регистриран на: 01 Мар 2014, 15:30

Re: Коксартроза - онлайн консултация с лекар ревматолог

Мнениеот galinaje » 23 Фев 2017, 23:51

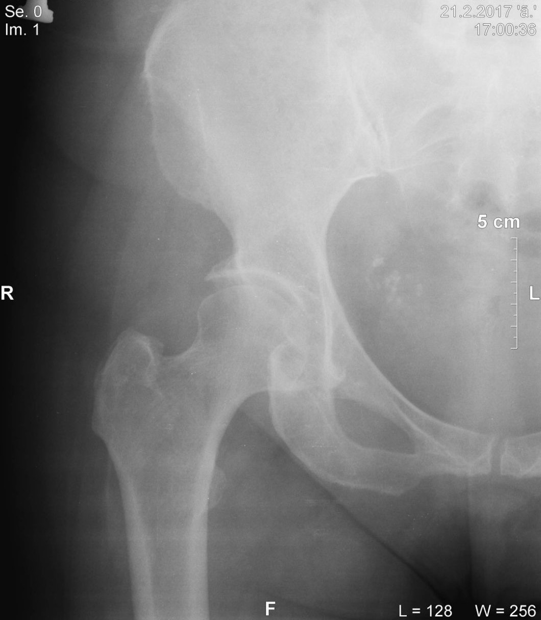
Здравейте,майка ми е на 60 години.От 5-6 месеца изпитва болка отпред в дясното бедро .Отиде на преглед при невролог,направиха й рентгенова снимка и й поставиха диагноза периставна остеоартроза 3 степен. Само с тази снимка може ли да се каже,че това е окончателната диагноза,трябва ли да се правят други изследвания. Лечението е с Дипрофос,Мовалис и болкоуспокояващи. За напред трябва ли да спазва хранителен режим,да приема хранителни добавки или нещо друго за подобряване на състоянието .Благодаря предварително !!!
Прикачени файлове
media-share-0-02-05-217b1fd573bd46a06337e570d237a953808bd418a5740f76fc9db7c9b8359289-875ba049-767f-41f0-baa4-6b1320821eef (4).jpg
Рентгенова снимка на бедрена става
media-share-0-02-05-217b1fd573bd46a06337e570d237a953808bd418a5740f76fc9db7c9b8359289-875ba049-767f-41f0-baa4-6b1320821eef (4).jpg (161.53 KiB) Прегледано 2378 пъти
galinaje
 
Мнения: 9
Регистриран на: 04 Юни 2014, 22:37

Re: Коксартроза - онлайн консултация с лекар ревматолог

Мнениеот galinaje » 24 Фев 2017, 09:15

Диагнозата е периставна остеослероза 3 степен,сбъркала съм по-горе !!!
galinaje
 
Мнения: 9
Регистриран на: 04 Юни 2014, 22:37

Re: Коксартроза - онлайн консултация с лекар ревматолог

Мнениеот FramarAdmin1 » 22 Фев 2019, 11:20

От 01.02.2019 на вашите въпроси отговаря медицинския екип на "Фрамар"
Администратор на forum.framar.bg
При възникнало съмнение за здравословен проблем или нужда от лечение, моля винаги се обръщайте за медицинска консултация към квалифициран и правоспособен лекар или фармацевт.
Аватар
FramarAdmin1
 
Мнения: 38
Регистриран на: 17 Мар 2011, 15:51


Назад към Заболявания на опорно-двигателния апарат и ревматология

Кой е на линия

Потребители разглеждащи този форум: 0 регистрирани и 1 госта