Преди години ми откриха поликистозни яйчници, пих около 3 години противозачатъчни, половина година след като ги спрях отидох на преглед заради нередовна менструация, но резултата е пак този – поликистозни яйчници.
Лекарката каза, че няма друг вариант и пак трябва да започна пия противозачатъчни, но така и не си ги купих.

Все още не искам бебе, но в момента, в който реша да имам не зная как ще стане при положение, че за 2 месеца след спирането на противозачатъчните, кистите пак са на лице!

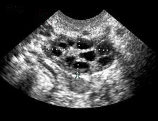
Така изглеждат и двата ми яйчника!

- pcos_us.jpg (49 KiB) Прегледано 3119 пъти
Много се надявам да има алтернативни методи, с които да излекувам поликистозните яйчници, не зная на какво да се надявам, какво може да помогне и как да се справя с това!
Четох за различни комбинации от билки, както и за различни фирми като Аквасорс, който имат хранителни добавки, които уж могат да помогнат,

но не зная към кой от алтернативни методи да се насоча и какво да предприема, затова ви моля за съвет!
Надявам се, да ми дадете някакъв акъл, има доста рецепти, но колко от тях помагат - нямам никаква идея и колко от тях биха помогнали на мен - също!
