
- zub.png (380.03 KiB) Прегледано 652 пъти
Здравейте,
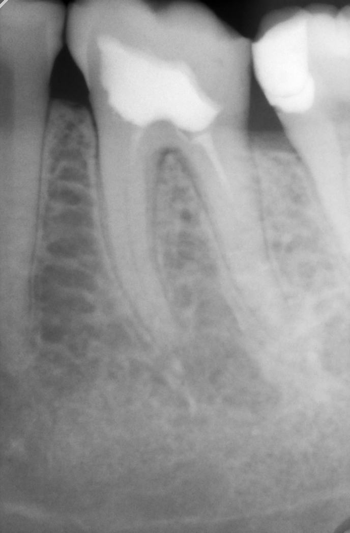
преди 6 месеци ми умъртвиха зъб. Още след поставянето на пломбата макар и рядко усещам дискомфорт ( споделяла съм за това със стоматолога ) - моментна остра болка, обикновено при по-твърда храна, но преди 2 дни през нощта ми се появи и една тъпа болка за час, два и отмина. Но като цяло усещам дискомфорт с този 6 долен ляв зъб.
Веднага си направих снимка и отидох при стоматолога, който ми беше поставил пломбата. Обясни ми, че не е страшно - имало размекване на пломбата, но ми предписа антибиотик и ми назначи час след 15 дни?!? Искам също така да кажа, че съм споделяла за дискомфорта 2-3 пъти през тези месеци, но не ми беше назначена снимка и за това сега реших да си направя такава.
Моля за Вашето компетентно мнение какво следва да направя и трябва ли да съм спокойна през тези 15 дни?
Предварително благодаря за отделеното време.