В този раздел на нашия форум можете да задавате въпроси, свързани с болести на ушите, носа и гърлото (УНГ), да споделяте мнения и да получите съвет.
    
        
    
    
    
	
        
        25 Яну 2020, 12:33
		
			
			Здравейте!
Въпреки лошата снимка и недостиг на светлина това е анатомична норма.
Поздрави и лек ден!!
			
		
	 
    
    
    
	
        
        20 Мар 2020, 01:17
		
			
			Здравейте. Имам 37 температура, болка в гърлото, подути ми са лимфните възли на шията, но без хрема или друга симптоматика. Лекувах се седмица, но се появиха налепи по гърлото. Казаха ми да взимам витамини, но без антибиотик, но ми е притестено, че вече втора седмица не минава.
			
		
	 
    
	
        
        27 Мар 2020, 14:06
		
			
			Здравейте! От две седмици съм със сухо и дразнещо гърло и температура, която следобед стигаше до 37.5. Приемах стрепсилс и грипекс макс. След като нямах подобрение посетих специалист УНГ. Направиха ми и снимка на белия дроб. Становището е двустранно леко повишена прозрачност върхово и дискретно, лек интерстециален процес. Трахеята е хиперемирана, суха, хиперемирана мезоф. Лигавица. Предписаха ми антибиотик аксеф 500 и тантум верде таблетки. След 5 дни прием не се чувствам по-добре, оплакванията ми продължават, нямам температура (но тя беше поспаднала и преди антибиотика), гърлото ми дразни и гъделичка като дишам и ми се кашля леко. Специалистът УНГ е на мнение да продължавам с предписанията, но искам да чуя и второ мнение. Дали да сменям антибиотика и какво да предприемам?
			
		
	 
    
    
    
	
        
        31 Мар 2020, 14:58
		
			
			Здравейте , незнам дали моят въпрос е за тук, но моля за отговор в предвид обстановката
От около 2-3 седмици работим от вкъщи, живея в село на 40км от Пловдив до гр. Първомай и гр. Чирпан.
Имам дразнене и нешо като гъдел два пръста прод адамовата ябълка, има дръзнание и леко по надолу. Не кашлям, понякога се насилвам заради дразнението, нямам сополи или някаква по силна секреция, храчки. Това от почти 3 седмици вече. Нямам и температура.
Хронология
- прези 4 седмици ръсих градината с хербицид Наса със маска
- преди 2 седмици пак ръсих(със маска) и освен това лакирах 2-3 часа навес без маска
- живея на 1 етаж където влагата е около 60% , успявам да я смъкна с няколко процента с влаго-абсобатор
където спя има леко мухал/плесен който премахнах преди няколко дни
Пия сиропчета със живоляк/черен пипер и т.н вземам мед с джиднджифил, гъргари правя със сода и сол. Отделно няколко дни вземах и парацетамол и файда никаква. Чесън/сода инхалции , греяно вино с черен пипер и т.н...доста неша опитах за тези седмици.
Питам понеже, няма как да отида до гр. Пловдив където ми е л.к и да вземам час/направление и т.н. заради обстановката
Според вас на вирусна основа или може да е някаква алергия ?  Очаквам и някакви препоръки , моля
Благодаря предварително
			
		
	 
    
	
        
        13 Апр 2020, 18:12
		
			
			Здравейте! От месец имам проблем с гърлото. Всичко започна с леко дразнене, премина в зачервяване и подуване. Опитах да се лекувам с чай, мед и лимон, хапчета за гърло тантун Верде, но нищо не помогна. Появиха се и бели петна. Понеже имам проблеми и с ушите, след консултация с личен лекар по телефона ми изписа Азакс за 5 дни. На 4тия ден от лечението гърлото отново се поду, продължихне го с още 3...така и не се оправи, останаха ми бели петна,както и ужасните храчки. Пробвах и с гаргара Ангизол,която даде само временно облекчение. На моменти е добре, на моменти започва да боли отново. Белите петна между сливиците и челюстта не изчезват Миналата седмица по своя инициатива си направих гърлен секрет, който излезе чист.Моля за съвет, около коронавирусът вече много се притеснявам защо толкова дълго време не мога да се излекувам
			
		
	 
    
	
        
        19 Апр 2020, 23:28
		
			
			Здравейте, вече три месеца ме дразни гърлото. Не ме боли само дразнене високо горе в гърлото. Не се влияе от храна или напитка. Правя гъргара от вода със сода и с чай от лайка. Пръсках си фиторал, но нямам подобрение. Сутрин е почти спокойно, но през деня дразненето се усилва. Смуча само билкови бонбони, защото кърмя. Слагам компреси от ракия и черен пипер или вода и сол, но няма ефект. Много дълго  и не се издържа вече. Дали можете да ме посъветвате нещо?
			
		
	 
    
    
    
	
        
        29 Апр 2020, 22:07
		
			
			Здравейте!
За съжаление симтомите- дразнене и болки в гърлото може да се дължат на много причини.Постарайте се да не дразнете гърлото със кисело,солено и други дразнещи храни.Пийте само топли и негазирани напитки.Спазвайте диета.Промивайте носа със солеви разтвори-стеримар,тонимер.
Оросявайте гърлото със спрей за гърло на основата на прополис и зехтин.Направете консултация с ендокринолог за проблеми със щитовидната жлеза.
Направете посявка-гърлен секрет.Консултирайте се личния си лекар за да направи преглед на гърлото и прицени възможност за консултация със специалист,евентуално физиотерапия.
Поздрави и лек ден!
			
		
	 
    
	
        
        04 Май 2020, 10:45
		
			
			Здравейте,
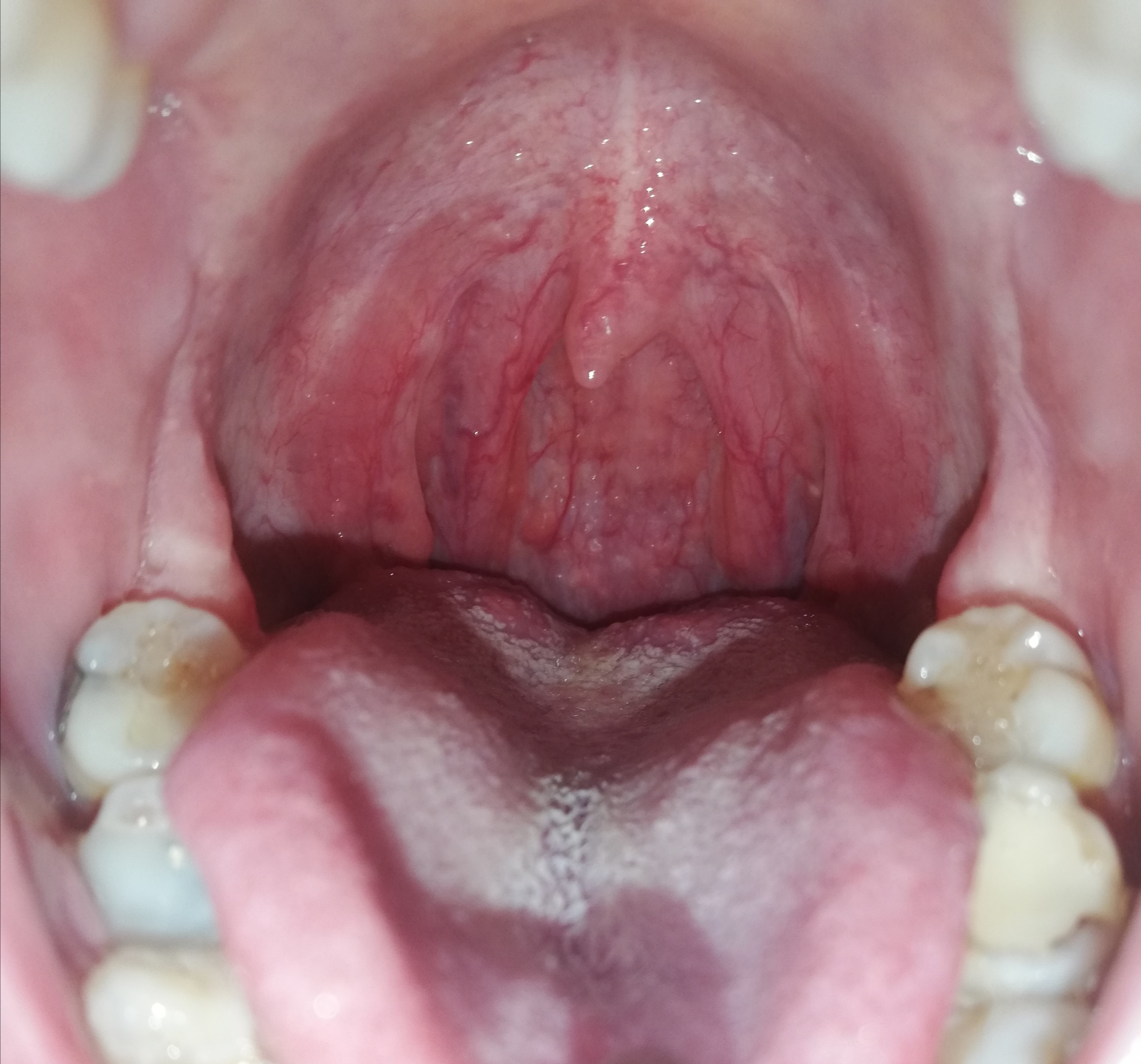
От 23.03.2020г. до момента имам постоянни болки в гърлото низко, които не преминават след като взимах първоначално Стрептогард, после Стрепсилс и миналата седмица Трахизан. Предвид обстановката не съм посетила УНГ. От дясно имам подут лимфен възел, който е подвижен и болезнен при напипване, но не спада. Тези симптоми са придружени със световъртеж през деня, които отминава и се появява от само себе си, запушен нос, обложен език и лек задух. Прикачила съм снимка на гърлото ми. 
		
			
 
			
			- IMG_20200504_103220.jpg (592.52 KiB) Прегледано 2378 пъти
 
		
		 Моля, дайте мнение какво според Вас ми има и какви други лекарства бих могла да взема, като се надявам този път да ми помогнат.
Благодаря предварително!
			
		
 
	 
    
    
    
	
        
        10 Май 2020, 18:36
		
			
			Здравейте!
За съжаление по тази снимка не може да се даде отговор и назначи лечение.
Направете гърлен секрет,може да има размесване на флората.Посете стоматолог и ендокринолог.
Поздрави и лек ден!!
			
		
	 
    
	
        
        14 Юли 2020, 19:19
		
			
			Здравейте. От какво може да се подуят вкусовите луковички във вътрешната част на езика - три от едната страна, три от другата. Проблемът е от години (около 4-5). Не боли, не сърби, не щипе.  Ходила съм на лекари - личен лекар, УНГ, гастроентеролог (имам направен тест за хеликобактер пилори - в норми), зъболекар. Тезите са различни, но нищо конкретно, нито за лечение (дали има или няма), нито каква е причината. Търся отговори.
Благодаря предварително!
			
		
	 
    
	
    
	
	
	    
	        Powered by phpBB © phpBB Group.
		
		
		    phpBB Mobile / SEO by Artodia.