Други заболявания на белите дробове - онлайн консултация

В този форум може да задавате вашите въпроси, свързани с белодробни заболявания - астма, пневмонии, хобб и други.

Re: Други заболявания на белите дробове - онлайн консултация

Мнениеот Stefaniq » 05 Ное 2019, 17:44

Здравейте.
Имам въпрос относно белите дробове.
Имам правена снимка преди 2 години, която беше добра.
Пкк и урина от преди няколко месеца всичко в норма. На 30г съм пушач.
Бях два пъти с последния месец при личната слуша ми гърдите и казва, че са чисти.
Аз усещам хрипове на моменти и незнам дали е от внушение, но сякаш имам лек задух.
Като цяло се чувствам добре.
Изкарах една настинка преди седмици, но хриповете ги усещах преди това и сега понякога.
Непрекъснато имам секрет, който се стича от носа.
Имам хроничен тонзилит.
Моля за мнение има ли място да се мисли за нещо опасно?
Stefaniq
 
Мнения: 2
Регистриран на: 05 Ное 2019, 17:39

Re: Други заболявания на белите дробове - онлайн консултация

Мнениеот Stefaniq » 11 Ное 2019, 22:03

Ще получа ли отговор или е необходимо да пусна нова тема?
Благодаря.
Stefaniq
 
Мнения: 2
Регистриран на: 05 Ное 2019, 17:39

Re: Други заболявания на белите дробове - онлайн консултация

Мнениеот FramarLekari » 12 Ное 2019, 12:33

Stefaniq написа:Здравейте.
Имам въпрос относно белите дробове.
Имам правена снимка преди 2 години, която беше добра.
Пкк и урина от преди няколко месеца всичко в норма. На 30г съм пушач.
Бях два пъти с последния месец при личната слуша ми гърдите и казва, че са чисти.
Аз усещам хрипове на моменти и незнам дали е от внушение, но сякаш имам лек задух.
Като цяло се чувствам добре.
Изкарах една настинка преди седмици, но хриповете ги усещах преди това и сега понякога.
Непрекъснато имам секрет, който се стича от носа.
Имам хроничен тонзилит.
Моля за мнение има ли място да се мисли за нещо опасно?


Здравейте, Stefaniq!

Личният Ви лекар след аускултация не е установил патологичен шум. Хриповете и затрудненото дишане на моменти е много вероятно да се дължат на тютюнопушенето (не уточнявате по колко цигари пушите на ден и от колко време). Секрецията от носа също не знаем от колко време датира, но ако е преди настинката и в съчетание с хриповете, е възможно да насочи към алергична реакция. Но обичайно алергията е съпроводена и с други симптоми.
По интернет можем да Ви даден само насоки и предположения, но не и да поставим диагноза.

Ако желаете, може да се консултирате и със специалист УНГ тук: Уши, нос, гърло (УНГ)

С уважение,
Медицински екип на "Фрамар"
Специалистите на www.framar.bg предоставят консултация, която не може да замени преглед при квалифициран и правоспособен лекар.
FramarLekari
 
Мнения: 1917
Регистриран на: 29 Мар 2011, 19:23
Местоположение: България

Re: Други заболявания на белите дробове - онлайн консултация

Мнениеот Kolev » 12 Ное 2019, 16:16

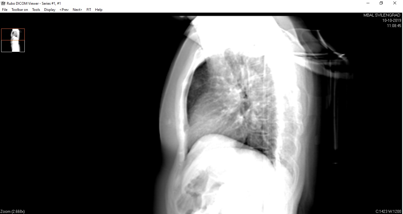
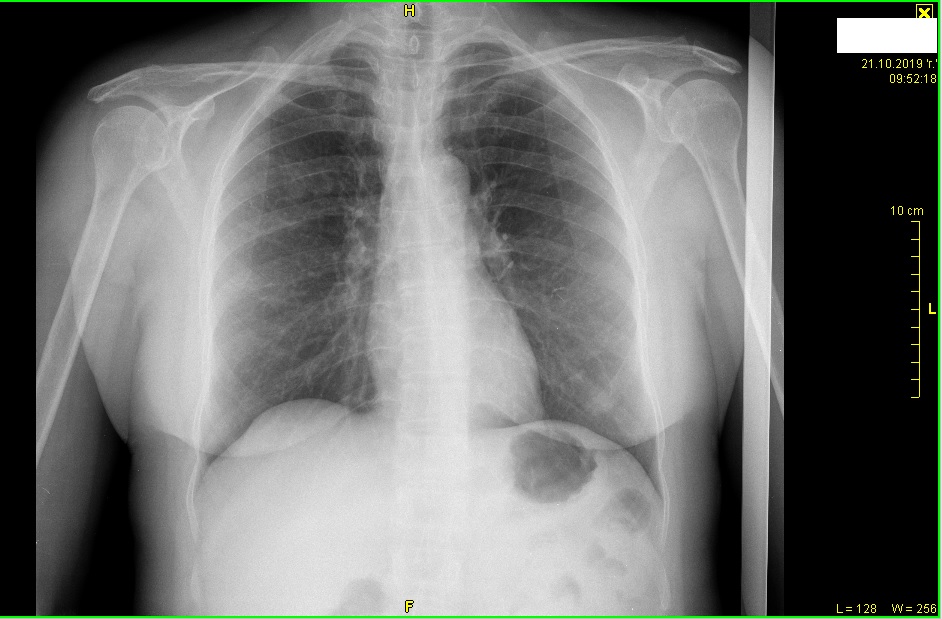
Здравейте, преди около месец на майка ми и правиха скенер на прешлени и гръбначен стълб, относно шум в ушите (който е от няколко месеа и не се повлиява от лекарства) със съмнение за ошипяване, лекарят, който е разчел резултатите от скенера и казал, че се вижда нещо на белия дроб и е добре да се обърне към пулмолог, за да и направи допълнителни изследвания. Свързахме се с лекар пулмолог, но тя не прегледа скенера, а само я прослуша и я изпрати на рентген, където не се видя нищо, което е според мен е логично, защото доколкото разбирам от скенера той е правен в профил, а рентгенографията в анфас, моля за Вашето мнение, относно снимките от скенера и тази от рентгена.
Прикачени файлове
Rentgen-MK.jpg
Rentgen-MK.jpg (148.86 KiB) Прегледано 1599 пъти
MK-skener.jpg
MK-skener.jpg (83.17 KiB) Прегледано 1599 пъти
MK-skener-2.jpg
MK-skener-2.jpg (170.46 KiB) Прегледано 1599 пъти
Kolev
 
Мнения: 1
Регистриран на: 12 Ное 2019, 15:58

Re: Други заболявания на белите дробове - онлайн консултация

Мнениеот FramarLekari » 13 Ное 2019, 14:39

Здравейте, Kolev!

За коректно мнение, касаещо здравето на майка Ви, ще Ви препоръчаме отново да се обърнете към лекар-специалист. Скенерът е част от диагностичното звено. За адекватно медицинско мнение е необходимо да се представят клинични оплаквания, да се проведе физикално
изследване. Без тях интерпретацията на дадено инструментално изследване крие риск от диагностични грешка.

С уважение,
Медицински екип на "Фрамар"
Специалистите на www.framar.bg предоставят консултация, която не може да замени преглед при квалифициран и правоспособен лекар.
FramarLekari
 
Мнения: 1917
Регистриран на: 29 Мар 2011, 19:23
Местоположение: България

Re: Други заболявания на белите дробове - онлайн консултация

Мнениеот Дори.Илиева » 18 Ное 2020, 10:10

Здравейте, може ли сиропа бронховитал кидс да се приема профилактично през целия зимен сезон от деца астма и алергия.
Дори.Илиева
 
Мнения: 1
Регистриран на: 18 Ное 2020, 10:07

Re: Други заболявания на белите дробове - онлайн консултация

Мнениеот Antoniq Gigova » 18 Фев 2021, 20:06

Здравейте,
На 8 януари дадох положителен резултата за КОВИД -19 с двустранна бронхопневмония. Един месец бях на антибиотици. На контролната снимка инфекцията беше започнала да отшумява,резултати от изследвания също бяха в норма. След поддържане на температура от 37.2 направих пак снимка и изследвания всичко беше наред. От понеделник температурата е постоянна не влияе от нищо повишава се повишава до 37, 8 , устните ми постоянно са сухи и ми излизат афти.
Antoniq Gigova
 
Мнения: 1
Регистриран на: 18 Фев 2021, 20:00

Re: Други заболявания на белите дробове - онлайн консултация

Мнениеот Валерия.Кръстева-Раднева » 28 Мар 2021, 08:33

Здравейте! Миналата година изкарах Короната и от тогава имам непрестанни болки в гърдите и гърба. По принцип съм със заболяването Бехтерев. От декември, болката в гърдите ми се засили, както и получих едно постоянно покашляне и на моменти дори имам втрисане. Ходих на снимка на белия дроб, нищо нямаше. Преди седмица, ходих и на кардиолог , при изследванията нямаше нищо убеспокоително, той заключи, че имам синусова тахикардия и ми изписа лекарства. Според вас, необходимо ли е да си правя нова снимка и тест за корона, дали е възможно пак да съм я хванала? Вече нямам идея на какъв лекар да ида.
Валерия.Кръстева-Раднева
 
Мнения: 3
Регистриран на: 27 Мар 2021, 15:06

Re: Други заболявания на белите дробове - онлайн консултация

Мнениеот doni1959 » 27 Дек 2024, 16:53

Здравейте.След прекарана и лекувана с антибиотик 10 дни вирусна инфекция , си направих рентгенография на бял дроб, т. като ми предстои пътуване със самолет извън странатаРезултат: Разгънати и просветлени бели дробове.Усилен хилусен и перибронхиален рисунък.Свободни кдс.Кор - в норма.Бихте ли ми обяснили какво означава и има ли проблем за престоя ми от 5 дни в другата държава/Италия/.Ще се радвам на бърз отговор.
doni1959
 
Мнения: 1
Регистриран на: 27 Дек 2024, 15:55

Re: Други заболявания на белите дробове - онлайн консултация

Мнениеот FramarLekari » 30 Дек 2024, 12:21

doni1959 написа:Здравейте.След прекарана и лекувана с антибиотик 10 дни вирусна инфекция , си направих рентгенография на бял дроб, т. като ми предстои пътуване със самолет извън странатаРезултат: Разгънати и просветлени бели дробове.Усилен хилусен и перибронхиален рисунък.Свободни кдс.Кор - в норма.Бихте ли ми обяснили какво означава и има ли проблем за престоя ми от 5 дни в другата държава/Италия/.Ще се радвам на бърз отговор.

Здравейте,
Възможно е след прекарана дихателна инфекция да има остатъчни изменения в областта на белодробните хилуси и около бронхите. В случай че нямате симптоми на инфекция и антибиотичното лечение е завършило, може да пътувате.

С уважение,
Медицински отдел на "Фрамар"
Специалистите на www.framar.bg предоставят консултация, която не може да замени преглед при квалифициран и правоспособен лекар.
FramarLekari
 
Мнения: 1917
Регистриран на: 29 Мар 2011, 19:23
Местоположение: България

Предишна

Назад към Белодробни заболявания

Кой е на линия

Потребители разглеждащи този форум: 0 регистрирани и 1 госта